Всем привет! Я стоматолог-гигиенист, помогаю детям и взрослым поддерживать здоровье полости рта. Провожу профессиональную гигиену – процедуру, которая важна каждому, чтобы избежать проблем с зубами и деснами, а еще я провожу самое результативное отбеливание - ZOOM 4
Мое главное преимущество – большой опыт работы с детьми. Даже если у ребенка был сложный или неприятный опыт в стоматологии, я нахожу подход, помогаю расслабиться и меняю отношение к лечению на позитивное. Мне важно, чтобы малыш чувствовал себя спокойно и уверенно – тогда процедура проходит быстро и безболезненно.
К каждому пациенту я отношусь внимательно и доброжелательно. Моя задача как специалиста – не просто сделать улыбку красивее, а сохранить здоровье, сформировать привычку заботиться о себе и показать, что стоматология может быть комфортной.
Буду рада стать вашим семейным специалистом по здоровью улыбки!
В мою практику входит :
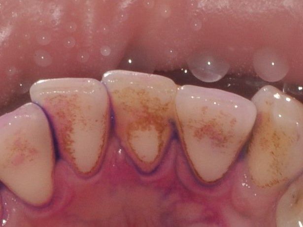
1. профессиональная гигиена полости рта для взрослых и детей ( индикация зубного налета, снятие пигментированного зубного налета методом air flow, снятие твердых зубных отложений уз-методом, полировка зубов, реминерализирующая терапия)
2. Подбор средств и обучение домашней гигиены полости рта
3. Адаптивный прием для детей - грамотное знакомство с врачом-стоматологом
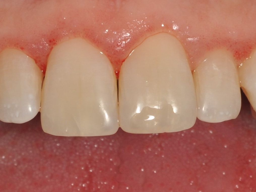
4. Отбеливание на аппарате philips zoom 4
5. Изготовление реминерализирующих кап