Светлана Ракутова

    Стоматолог-ортодонт
    Взрослые и дети от 4 лет
    Владеет языками
    Русский, Английский

    Обо мне

    Мечта стать стоматологом появилась в моей жизни в раннем детстве. Уже тогда меня заинтересовал мир эстетики, красоты и счастливых улыбок.

    Я веду ортодонтический прием как взрослых, так и детей.
    В своей работе стараюсь найти индивидуальный подход к каждому пациенту, внимательна к вашим пожеланиям и сомнениям. Перед началом лечения я проведу полную диагностику, чтобы на ранних этапах понять цель лечения и спрогнозировать результат. Мы вместе будем стремиться к созданию улыбки вашей мечты.
    Отдельным направлением моей работы является создание эстетики лица и улыбки маленьких пациентов. Я помогаю детям с раннего возраста научиться грамотной функции, используя специальные активаторы и занятия с миофункциональным терапевтом, что способствует формированию правильного прикуса.

    В своей работе я использую различные современные методики:
    - Лечение на самолигирующей брекет-системе
    - Лечение на элайнерах
    - Применение ортодонтических минивинтов
    - Ортодонтическая подготовка к имплантации и рациональному протезированию
    - Лечение детей с помощью пластинок, активаторов, накладок и элайнеров

    Искренне люблю свое дело и счастлива создавать красивые улыбки для вас. Поэтому буду стараться максимально понятно, четко и доступно ответить на ваши вопросы.
    Записаться ко мне на прием можно через сайт, либо написать/позвонить по указанным выше контактам.

    Образование

    Специалитет:
    Российский национальный исследовательский медицинский университет им. Н. И. Пирогова - Врач-стоматолог
    Ординатура:
    Российский университет дружбы народов - Врач-ортодонт

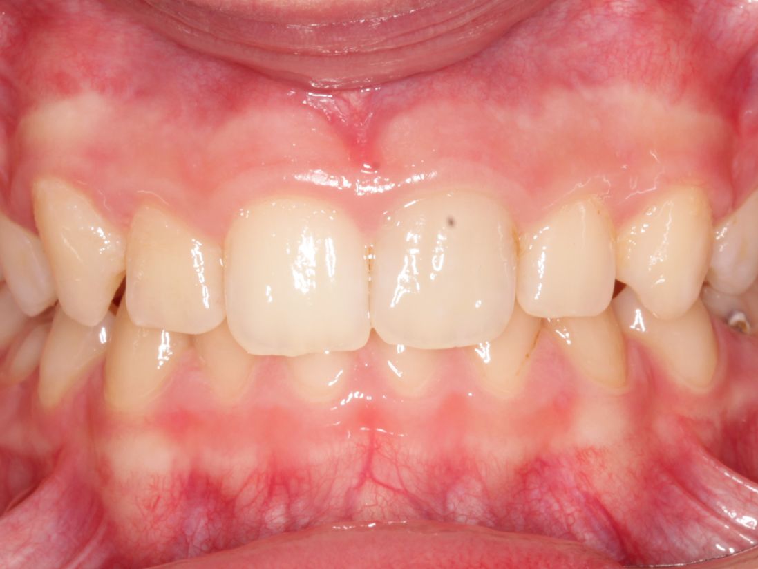
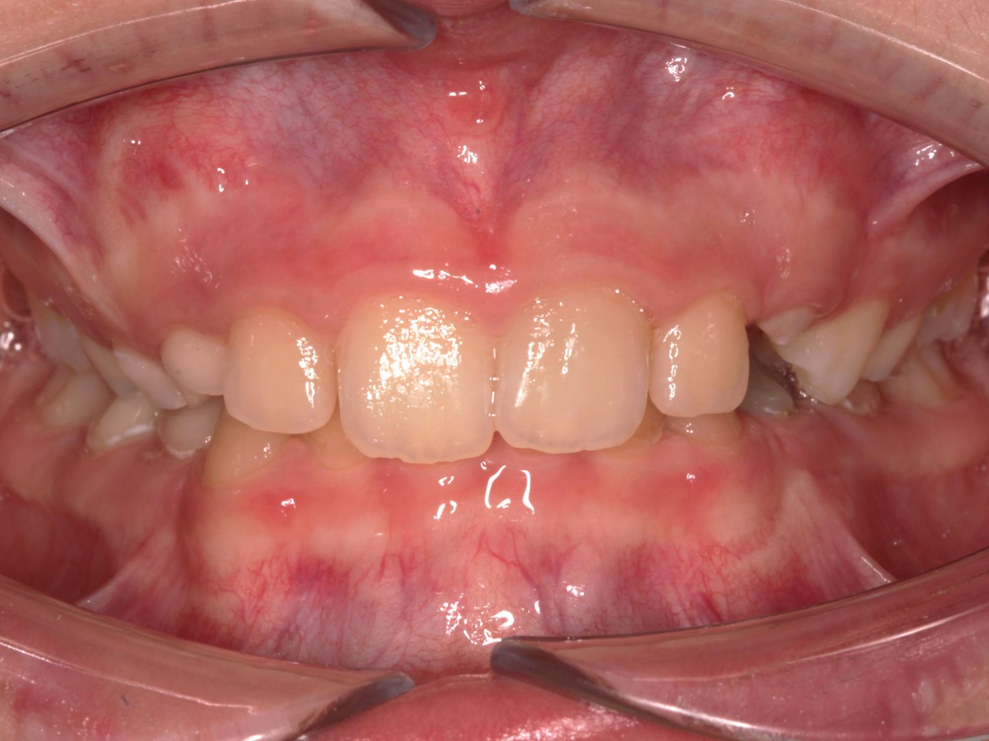
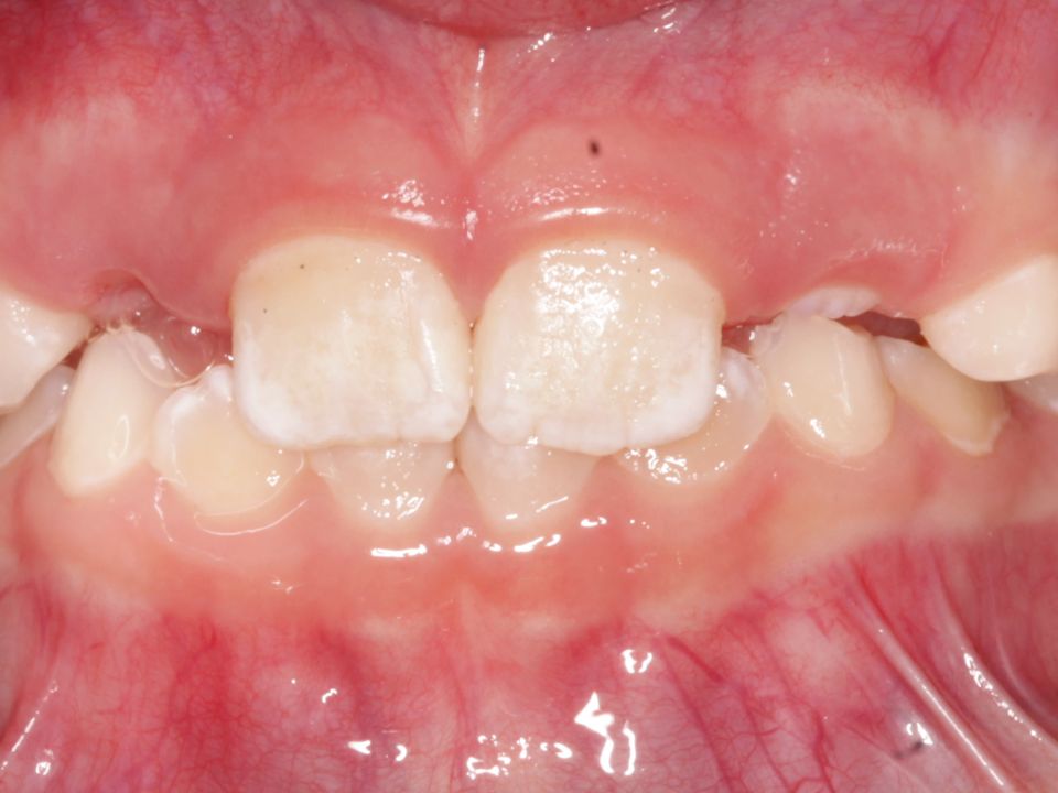
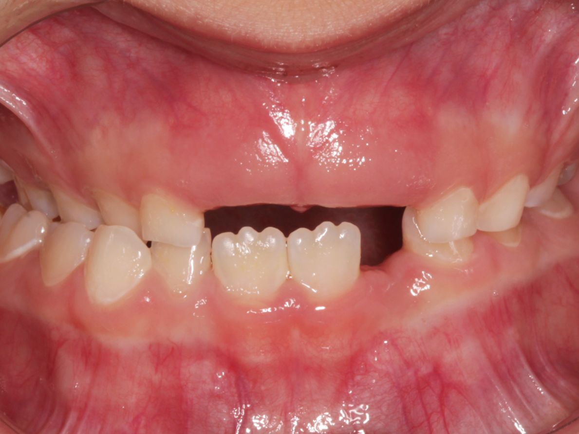
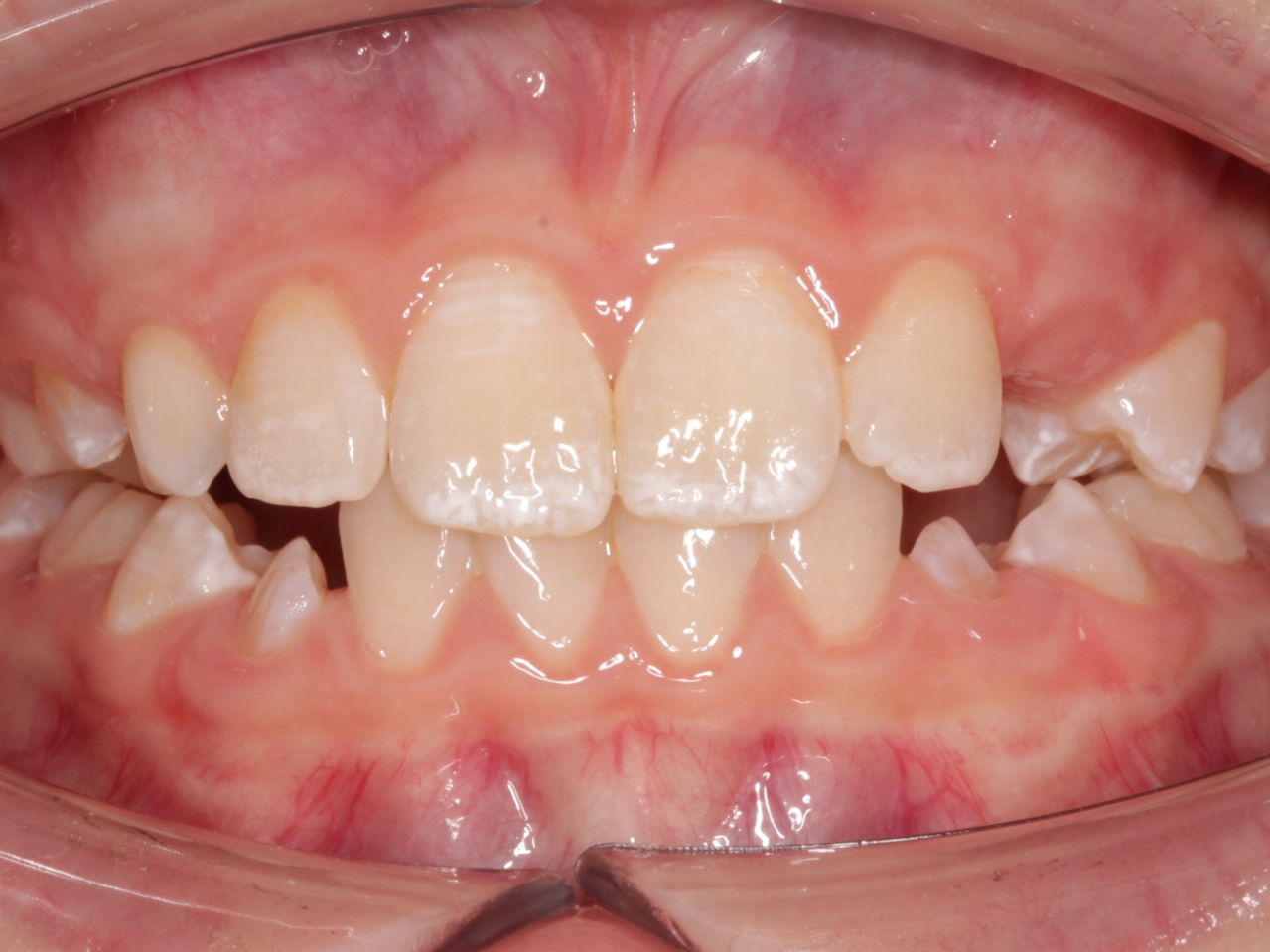
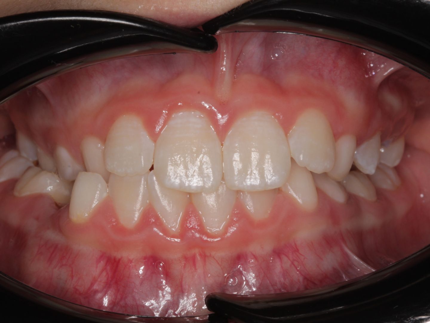
    Примеры работ

    • Ортодонтическое лечение глубокого прикуса

    • Ортодонтическое лечение перекрестного прикуса

    • Ортодонтическое лечение перекрестного прикуса