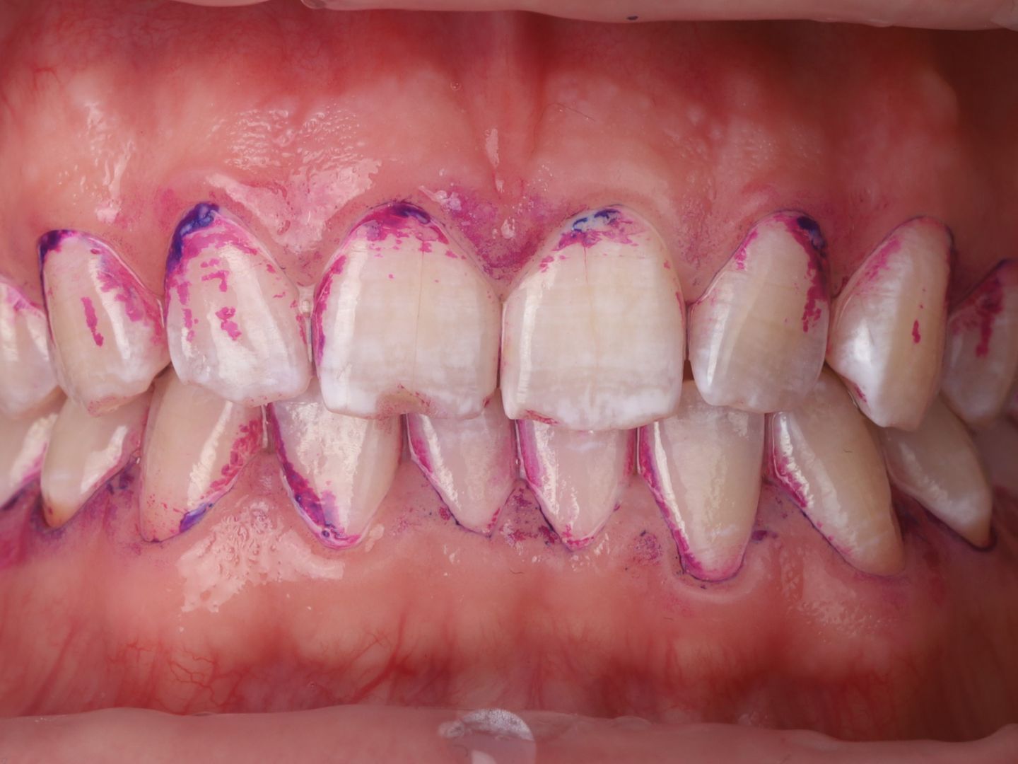
Я стоматолог-гигиенист, который внимательно относится к каждому пациенту, его ощущениям и ожиданиям. Для меня важно не просто провести процедуру, а дать человеку понимание, что о нем заботятся и делают все исключительно в его интересах. Я стремлюсь создать атмосферу доверия и показать, что современная стоматология - это про комфорт и здоровую улыбку.
Индивидуально подобранный домашний уход - ключ к сохранению долгого результата после визита на профессиональную гигиену. Я помогу подобрать средства и разработать тактику ухода, чтобы эффект нашей работы сохранялся как можно дольше.
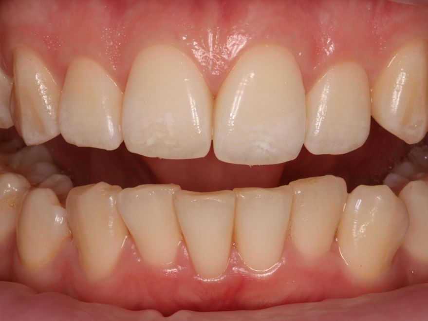
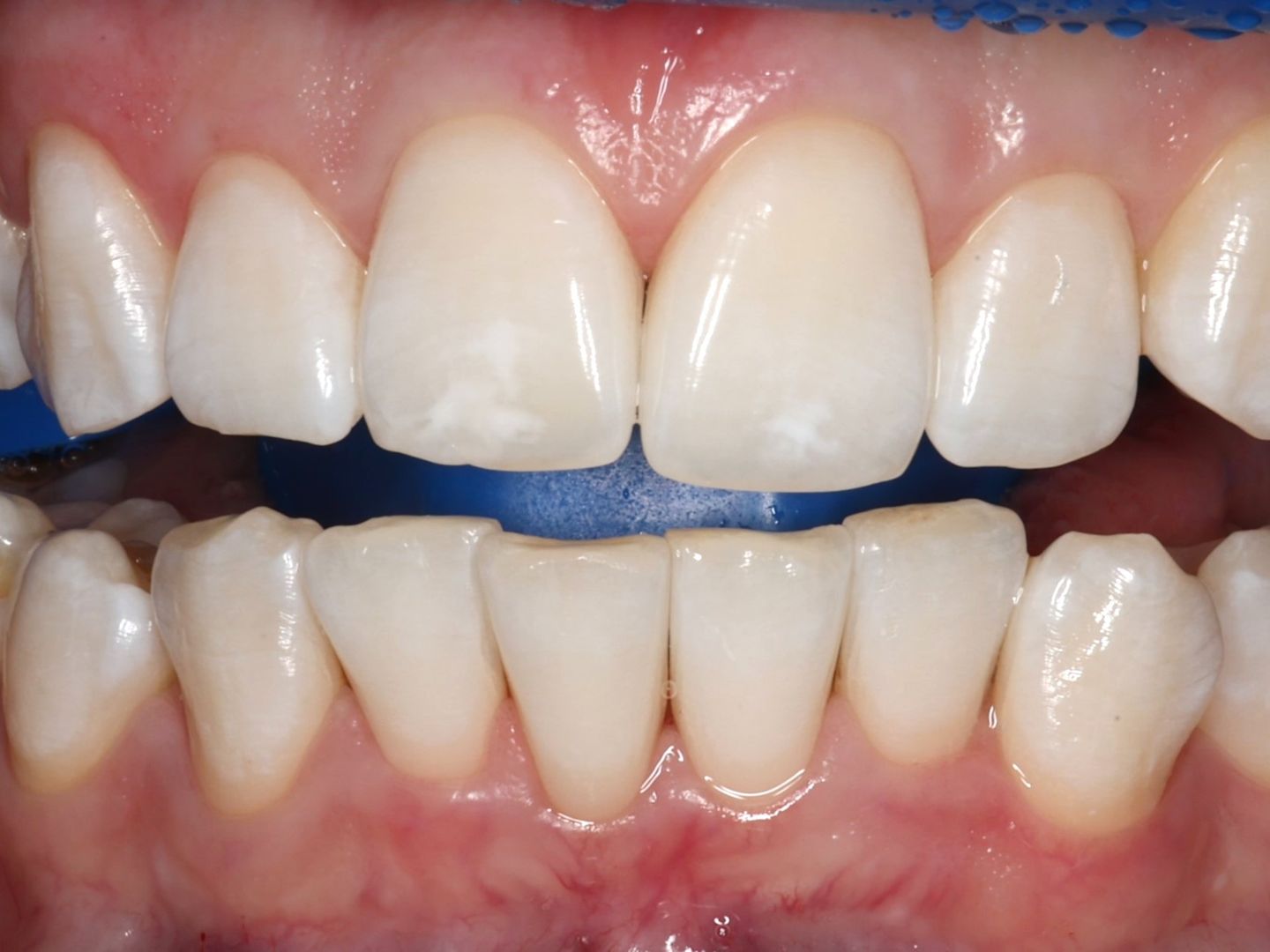
Одной из моих любимых процедур является профессиональное отбеливание ZOOM4 - быстрый, безопасный и эффективный способ сделать зубы светлее за один визит.
До встречи на приеме, вместе мы сделаем улыбку, которую захочется беречь!