Алена Гладкова

    Стоматолог-терапевт
    Взрослые и дети от 16 лет
    Владеет языками
    Английский, Русский

    Обо мне

    Давайте познакомимся!

     

    Меня зовут Алёна, я - стоматолог-терапевт, стоматолог-гигиенист в клинике "Чайка Метрополис".

     

    Комфорт пациента, понятное и подробное объяснение этапов лечения без сложных терминов, доброжелательность и забота, а также высокое качество работы и только комплексный подход к лечению - мои основные правила на приёме.


    "Люблю лечить так, как хотела бы, чтобы лечили меня" - та фраза, которая неотрывно связана с моим пониманием профессии с самого начала врачебной деятельности.

     

    Спектр манипуляций:

    - Консультация с составлением подробного плана лечения совместно с докторами смежных специальностей, с использованием искусственного интеллекта 

    - Лечение кариеса, функциональное восстановление сильно разрушенных зубов

     - Профессиональная гигиена полости рта

    - Обучение индивидуальной гигиене 

    - Подбор индивидуальных средств гигиены для домашнего ежедневного ухода за полостью рта

     

    Как часто необходимо выполнять профессиональную гигиену?


    - При соблюдении качественной гигиены полости рта в домашних условиях - 1 раз в 6 месяцев

    - Если у вас есть вредные привычки (курение), часто пьёте черный кофе, крепкий чай или же в вашем рационе питания преобладает высокоуглеводная пища (сладкое, фрукты, ягоды, мучные изделия) - 1 раз в 3 месяца.

    - При наличии ортодонтических конструкций (брекет-системы, ретейнеры и т.п.) - 1 раз в 3 месяца.

     

    Почему профессиональная гигиена важна?


    - Микробный налет на поверхностях зубов - главная причина развития кариеса, воспаления дёсен и других стоматологических заболеваний. Регулярная комплексная гигиена полости рта сохранит здоровье зубов, снизит риск развития и прогрессирования заболеваний ротовой полости.

    - С помощью профессиональной гигиены мы можем сделать зубы светлее, а улыбку - ярче.

    - Проблему неприятного запаха изо рта во многих случаях можно решить проведением комплексной гигиены.


    Уважаемые пациенты, если у вас возникли какие-либо вопросы относительно профилактики и лечения стоматологических заболеваний, я всегда рада ответить вам и помочь! Выше указаны контакты для связи.

    Образование

    Основное образование: Иркутский государственный медицинский университет. Стоматологический факультет.
    Ординатура: Московский областной научно-исследовательский клинический институт им. М.Ф. Владимирского (ГБУЗ МО МОНИКИ им. М.Ф. Владимирского). Кафедра стоматологии общей практики.

    Дополнительное образование:
    2023г. - Курс "Всё об инструментальной обработке корневых каналов. Практика на микроскопе". Двухдневный курс.
    Лектор: Николаев Дмитрий Александрович 
    Клинико-образовательный стоматологический центр "Эстетика Дент",
    г. Красноярск. 

    2023г. - Курс "Реставрация фронтальной и жевательной групп зубов. Практика". Двухдневный курс.
    Лектор: Шлеина Яна Михайловна
    Клинико-образовательный стоматологический центр "AVICENNA",
    г.Москва

    2024г. - Курс "Терапевтическая стоматология с практикой на пациентах". Трёхнедельный курс.
    Лекторы: Месропова Кристина Игоревна, Шлеина Яна Михайловна, Могилянская Наталья Юрьевна, Коновалова Ильнура Рафаэльевна.
    Клинико-образовательный стоматологический центр "AVICENNA",
    г. Москва.

    2024г. - Курс «Restologia». Всё о биомиметическом подходе в лечении кариеса.
    Лектор: Лебедева Анна Николаевна 
    г.Москва

    2025г. - Курс "Безопасная первичная эндодонтия". 
    Лектор: Добриян Карина Алексеевна
    г. Москва

    2025г. - Курс "Перелечивание корневых каналов: современный подход"
    Лектор: Казадаев Иван Сергеевич
    г. Москва

    Опыт работы

    2021г.-2023г. ООО "Бьюти Лайн", врач стоматолог-гигиенист, г.Иркутск

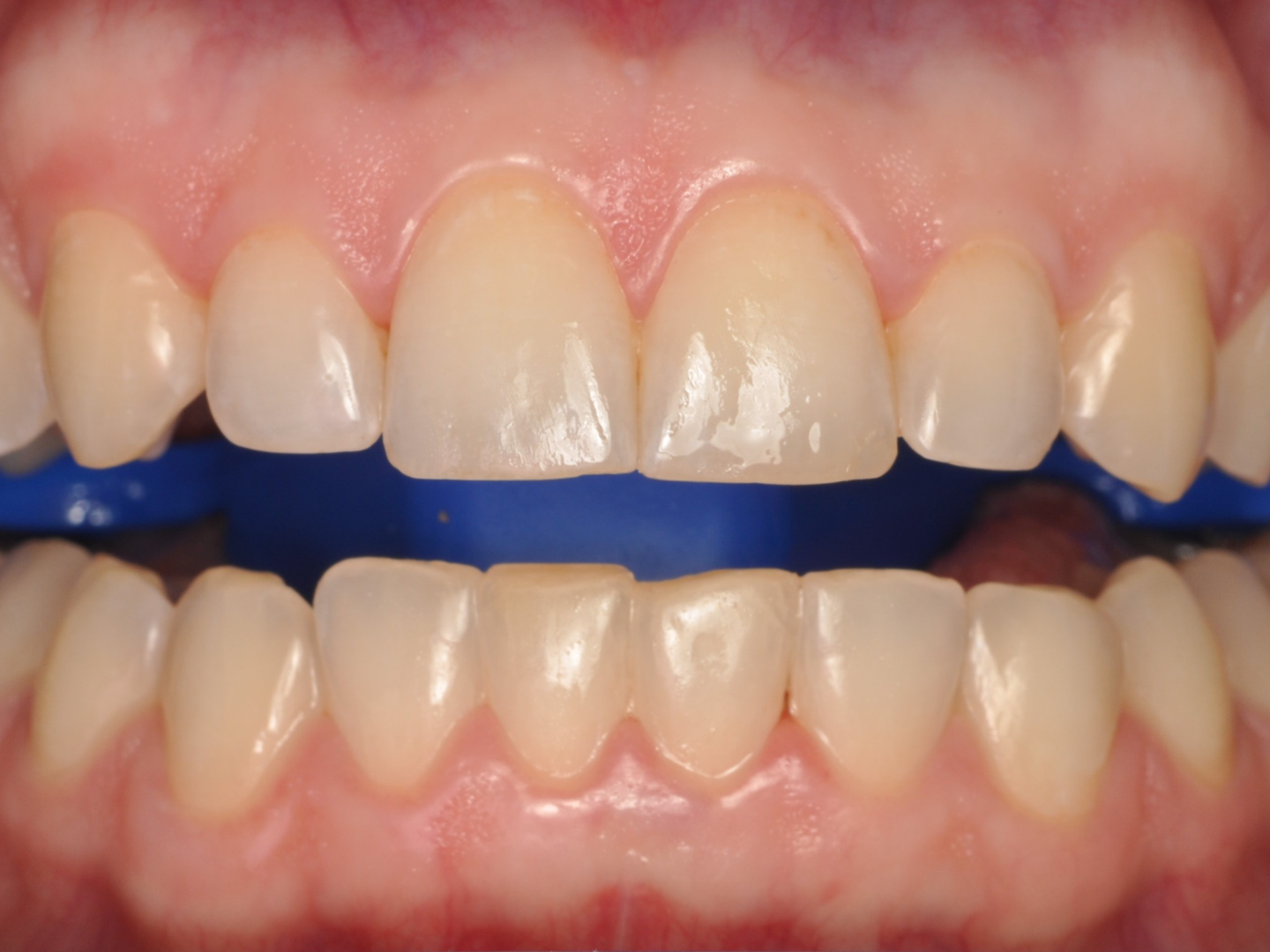
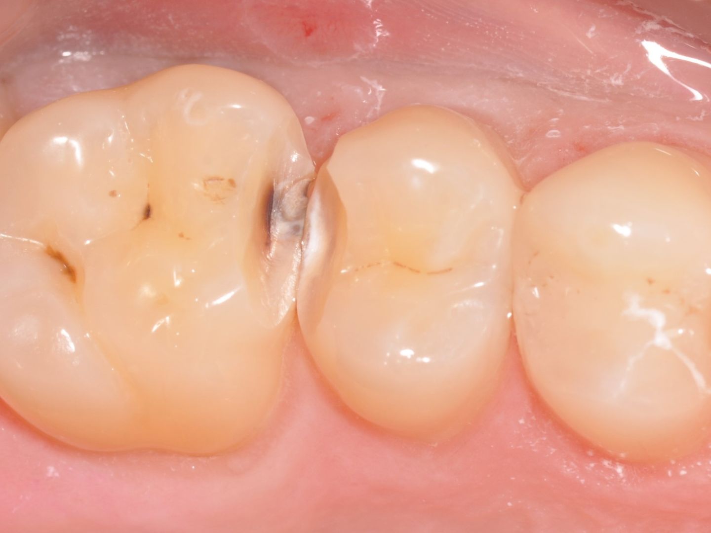
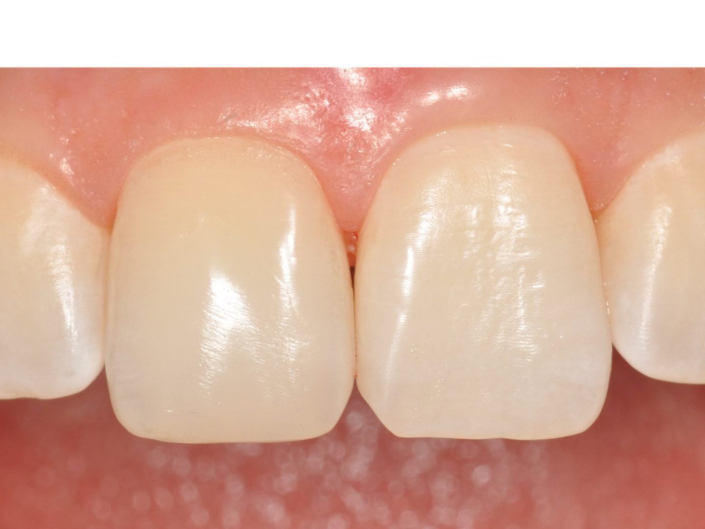
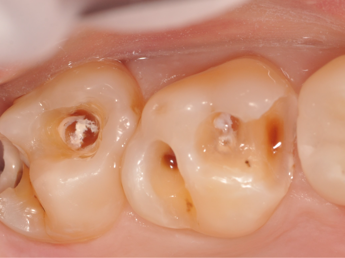
    Примеры работ

    • Комплексная гигиена полости рта

    • Лечение контактного кариеса

    • Лечение клиновидного дефекта

    • Комплексная гигиена полости рта (с предварительным окрашиванием зубов индикатором налёта)

    • Реставрация скола режущего края

    • Лечение кариеса, восстановление анатомии

    • Лечение скрытого контактного кариеса

    • Отбеливание зубов Zoom 4

    Почему я работаю в этой клинике

    В клиниках "Чайка" работают отзывчивые, профессиональные доктора, которые ставят здоровье, улучшение качества жизни и хорошее самочувствие пациента в приоритет, а также придерживаются комплексного подхода в составлении планов лечения. Дружный коллектив, взаимопомощь и доброжелательная атмосфера создают позитивный настрой, а это - первый шаг в успешному лечению и выздоровлению.