Блог

    Как стресс влияет на здоровье полости рта?

    В мегаполисах люди постоянно подвержены стрессу, а в Москве почти 40% населения заявили, что испытывают стресс (по данным исследовательского холдинга «Ромир» за 1 квартал 2024 года). Хотя я думаю, что статистика гораздо хуже.
    `Иллюстрация: ${item.title}`

    Как стресс влияет на здоровье полости рта?

    Судя по опросу, большая часть этих людей — это люди до 35 лет, и им точно нельзя игнорировать состояние зубочелюстной системы, потому что возраст достаточно молодой, а зубы, как известно, стираются безвозвратно.

    Итак, как же стресс влияет на здоровье полости рта? Ответ короткий — негативно. Стресс влечет за собой бруксизм (состояние скрежета зубами в результате перенапряжения мышц).

    Сразу скажу, что повышенная стираемость зубов, о которой мы будем говорить далее, может быть вызвана не только стресс-фактором, но и патологией прикуса. Если неправильный прикус, и вы максимально спокойны — проблема все равно может быть. Или, наоборот, проблема может быть при правильном прикусе и повышенной тревожности или частом стрессе.

    Если развернуто отвечать, представьте, что вы сгибаете металлическую (например, медную) проволоку. Давите немного — она начинает деформироваться. Если со всей силы несколько раз сгибать и разгибать, проволока ломается.

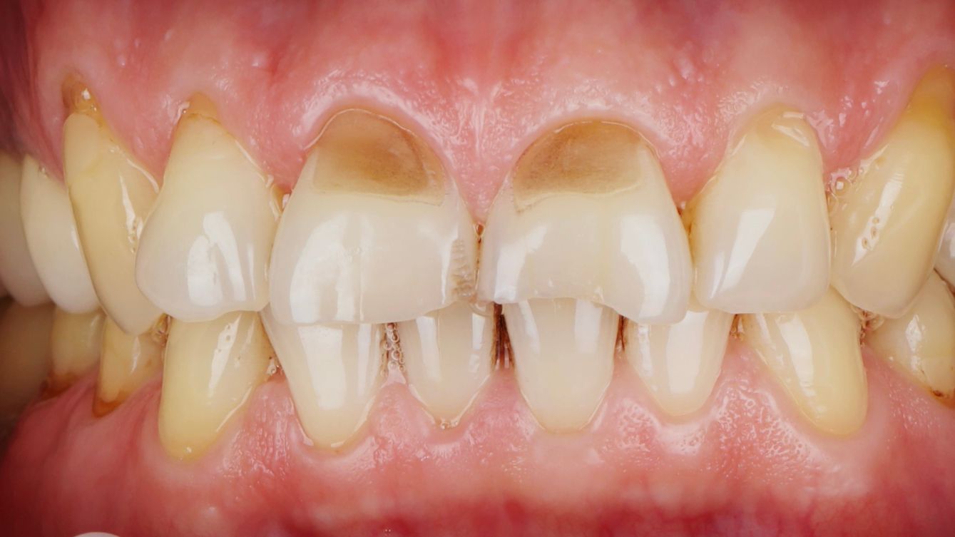
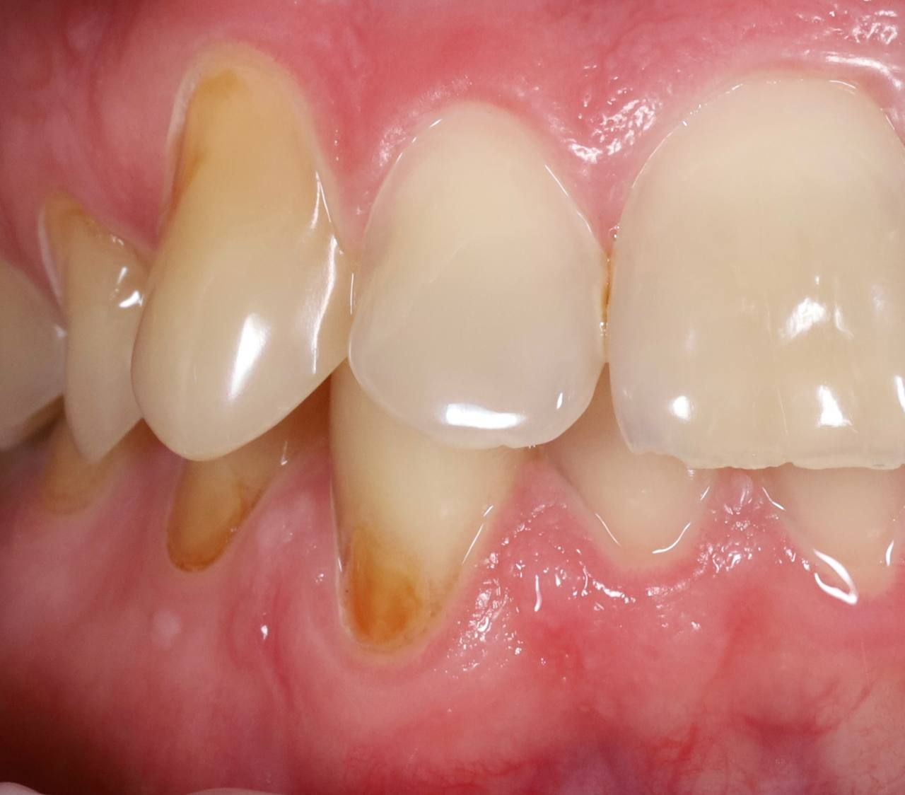
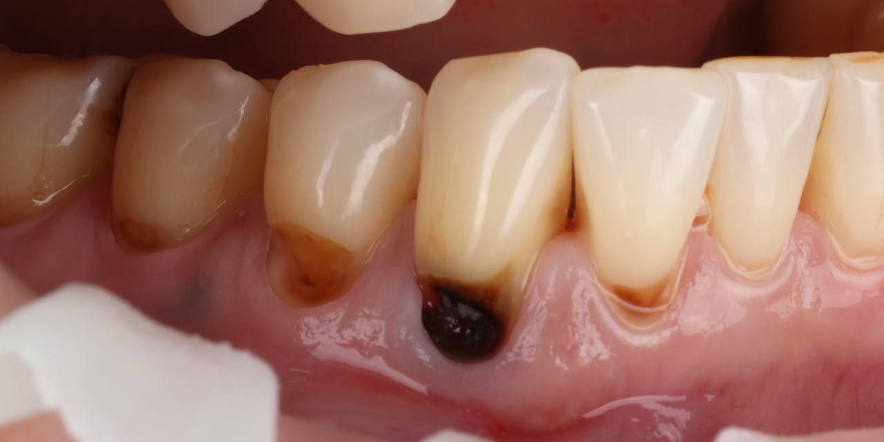
    Наши жевательные мышцы гораздо сильнее, они развивают силу до (внимание!) 400 кг, в то время как сила кистей рук составляет от 40 до 70 кг (не берем в расчет спортсменов). Здесь мы, конечно, утрируем: зубы сломать не так просто, но «тонкое место проволоки» будет в самом ее тонком месте, а самая тонкая часть зуба — его шейка (место, где коронка зуба переходит в корень). В этом месте зуб начинает истончаться. Подлежащая эмали ткань — дентин — оголяется. К незащищенному дентину при неправильной гигиене молниеносно присоединяется кариес, который еще больше истончает зуб. Затем кариес углубляется до нерва, и начинается тот самый болевой синдром, который незабываем для пациентов и который игнорировать уже невозможно.

    Бывает, что кариес не присоединяется, и тогда стереть зубы до «нерва» тоже возможно. Но наш организм очень умный: у бруксистов начинает вырабатываться вторичный дентин, и пульпа (нерв зуба) начинает отдаляться, что позволяет долгое время не чувствовать проблем.

    Тем временем, пока оголяются шейки зубов, жевательная поверхность коронки зуба тоже начинает «стачиваться» до дентина, что влечет за собой подобную историю.

    К сожалению, гиперактивность жевательных мышц способна вызывать дисфункцию височно-нижнечелюстного сустава, а это самый сложный сустав в теле человека! В результате может быть боль и ограничение при движении челюсти.

    Стресс испытывает и костная ткань верхней и нижней челюсти. При сильном давлении возникает резорбция (костная резорбция — от лат. *resorbere* — «поглощать»), то есть растворение кости, что влечет за собой подвижность зубов.

    Предотвратить все эти проблемы можно, если ответственно подходить к своему здоровью. Решать не только физические, но и ментальные проблемы вовремя, комплексно подходить к лечению с лучшей командой докторов (в клинике Чайка).

    Мы, стоматологи, в свою очередь предложим наше решение проблемы. Это может быть миорелаксирующая каппа, которая способна расслабить мышцы, снять боль и остановить стирание зубов, ночная каппа, восстановление целостности зубов реставрациями, керамическими коронками или исправление прикуса, а может быть введение ботулотоксина в жевательные мышцы. Каждый пациент нуждается в индивидуальном подходе.

    А еще мы направим вас к смежным специалистам, чтобы поддерживать самообладание, уравновешенность и внутренний баланс.